Es el segundo cáncer más común de la sangre. Conocé cómo se desarrolla y cuáles son las alternativas de tratamiento en esta etapa de la enfermedad.
El mieloma múltiple es un tipo de cáncer de la sangre que afecta mayormente a los hombres mayores de 69 años, en promedio, aunque también puede presentarse personas más jóvenes.
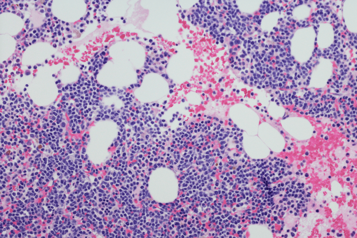
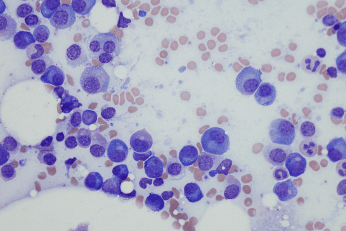
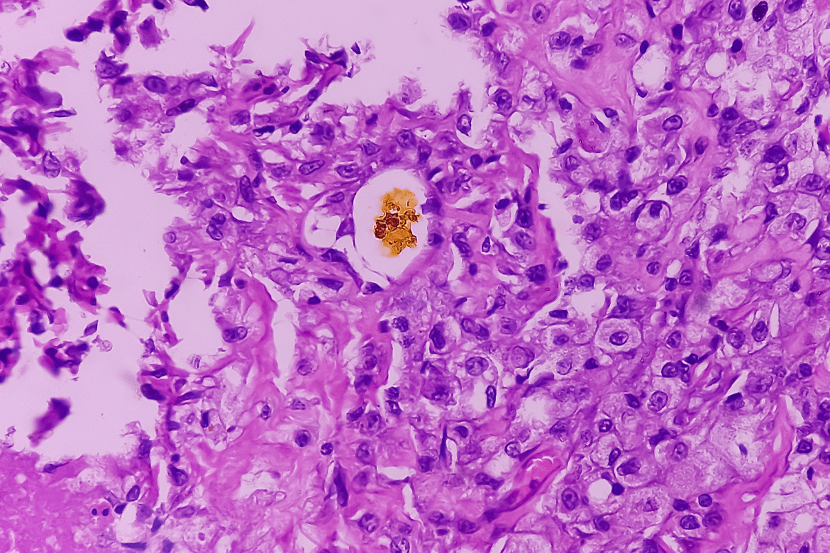
En este cáncer, las células plasmáticas de la médula de los huesos que normalmente producen anticuerpos, sufren mutaciones y se reproducen descontroladamente, generando un exceso de inmunoglobulinas anormales o anticuerpos tipo M, y una disminución de otros glóbulos blancos y de los glóbulos rojos.
Normalmente, las células plasmáticas -o “linfocitos de tipo B” maduros- se encuentran en la médula ósea. La médula ósea es el tejido blando dentro de los huesos. Además de las células plasmáticas, la médula ósea contiene también otras células sanguíneas, como los glóbulos rojos, los glóbulos blancos y las plaquetas.
Cuando las células plasmáticas, que tienen básicamente una función defensiva contra las infecciones, sufren mutaciones, pueden crecer descontroladamente y hasta extenderse fuera de la médula ósea. A este cáncer se lo denomina mieloma múltiple.
Como consecuencia del descontrol de las células plasmáticas, las personas pueden experimentar los siguientes signos y síntomas:
- Dolores óseos
- Lesiones en los huesos, fracturas.
- Anemia.
- Fatiga
- Aumento del calcio (hipercalcemia) y de proteínas en sangre u orina.
- Daño renal (Mayor propensión a infecciones, náuseas, estreñimiento, pérdida de apetito, sed)
En muchos casos, los síntomas son leves o aparecen tardíamente, por lo que el diagnóstico de mieloma múltiple se demora y sólo se hace tras contar con análisis de sangre y orina que presenten anomalías, además de radiografías o tomografías computadas que revelen lesiones en los huesos. Una biopsia o aspiración de médula ósea generalmente confirman el diagnóstico.
Es importante tener un diagnóstico preciso para iniciar rápidamente el tratamiento y, eventualmente, un auto trasplante de células madre (stem) hematopoyéticas, capaces de generar nuevos glóbulos rojos y blancos.
Supervivencia creciente
Antes del desarrollo de los nuevos tratamientos, los pacientes con mieloma múltiple tenían una expectativa de vida de 30 meses. Hoy, la sobrevida puede superar los 10 años y podrían llegar a más, si tienen éxito las nuevas drogas que se ensayan actualmente para quienes ya no responden al tratamiento estándar.
Actualmente, el tratamiento típico del mieloma múltiple consistente en un glucorticoide (dexametasona), un inmunomodulador (talidomida, lenalidomida, pomalidomida, etc.) y un inhibidor de proteosoma (bortezomib, carfilzomib, etc.). En algunos casos, se agrega a este combo terapéutico un anticuerpo monoclonal anti-CD38 (elotuzumab, daratumumab o isatuximab).
A pesar de los avances en el tratamiento farmacológico en las últimas dos décadas, aún mueren más de 100.000 pacientes por año en el mundo debido al mieloma múltiple, y tanto la cantidad de nuevos casos como la mortalidad aumentan en América Latina.
Todavía no se sabe bien qué causa el descontrol de las células plasmáticas que termina en un mieloma múltiple. Algunos de los factores que pueden aumentar el riesgo de padecer este cáncer son la exposición a pesticidas y fertilizantes, el trabajo con petroquímicos y la obesidad, además de la edad avanzada, tener antecedentes familiares de mieloma múltiple, tener gammapatía monoclonal de certificado incierto.
El desafío de la resistencia a los fármacos
El crecimiento incesante de células plasmáticas no sólo desplaza a otros glóbulos blancos (linfocitos) de la médula ósea, sino que también puede formar tumores (plasmacitomas) en otras partes del organismo, por fuera de los huesos. Algunos pacientes desarrollan complicaciones a nivel neurológico, cardíaco o renal.
Ciertas mutaciones en el ADN de las células plasmáticas, además, aumentan el riesgo de muerte temprana. Finalmente, muchos pacientes se vuelven resistentes a los tratamientos usuales, aún a los más avanzados, y requieren nuevas drogas para controlar la enfermedad.
El mieloma múltiple recaído o refractario (que no responde a un tratamiento) constituye hoy un desafío para la supervivencia de los pacientes, ya que los fármacos habituales dejan de funcionar y las células plasmáticas se descontrolan al punto de generar tumores en distintos órganos, además de en los huesos.
Cuando solo hay un tumor, la enfermedad se llama plasmacitoma. Cuando hay muchos tumores, se llama mieloma múltiple. Para estos casos, hoy se están investigando nuevas inmunoterapias, como los anticuerpos biespecíficos teclistamab, talquetamab, elranatamab, y también terapias con células CAR-T.
En estos momentos, se llevan adelante ensayos clínicos para los pacientes con mieloma múltiple cuyo cáncer regresa después de un tratamiento exitoso. Una de ellas es la mezigdomida, una droga de la nueva clase de moduladores de la proteína Cereblon (CELMoD) que se prueba actualmente en varios países del mundo, incluida la Argentina.
Ensayo clínico en Argentina: más información aquí







